
Tečaj dentalne fotografije petodnevni je program koji se održava u Vašoj ordinaciji. Vrijeme održavanja je fleksibilno te je moguće dogovoriti termine u jutarnjim ili poslijepodnevnim satima, radnim danom ili vikendom. Radionice se održavaju u trajanju od pet dana, odnosno dva sata po danu, a svrha tečaja dentalne fotografije jest osposobiti svakog polaznika za potpuno samostalno upravljanje profesionalnom fotografskom opremom, od samog fotoaparata i objektiva do rasvjete i opreme koja se koristi u dentalnoj fotografiji.
Tečaj dentalne fotografije pruža sveobuhvatno znanje i vještine potrebne za postizanje vrhunskih rezultata u dokumentiranju i prezentaciji dentalnih zahvata. Program je strukturiran kako biste stekli tehničko razumijevanje i praktičnu primjenu, korak po korak.

Što ćete naučiti?
Tečaj dentalne fotografije pruža sveobuhvatno znanje i vještine potrebne za postizanje vrhunskih rezultata u dokumentiranju i prezentaciji dentalnih zahvata. Program je strukturiran kako biste stekli tehničko razumijevanje i praktičnu primjenu, korak po korak:
1. Upoznavanje s fotoaparatom i osnovama fotografije
- Samostalno upravljanje postavkama u ručnom “M” načinu rada.
- Svladavanje ekspozicijskog trokuta (brzina zatvarača, otvor blende i ISO osjetljivost).
- Razumijevanje balansa bijele boje za točnu reprodukciju boja.
- Tehnike selektivnog izoštravanja za fokus na ključnim detaljima.
2. Uvod u dentalnu fotografsku opremu
- Pregled opreme specijalizirane za dentalnu fotografiju.
- Korištenje različitih izvora svjetla, uključujući reflektore, eksterne te ring i twin bljeskalice.
- Upotreba fotografskih kutija (lightbox) za preciznu dokumentaciju protetike i materijala.
3. Praktične tehnike i snimanje
- Portretna fotografija klijenata i pacijenata uz primjenu “off-camera flash” tehnika.
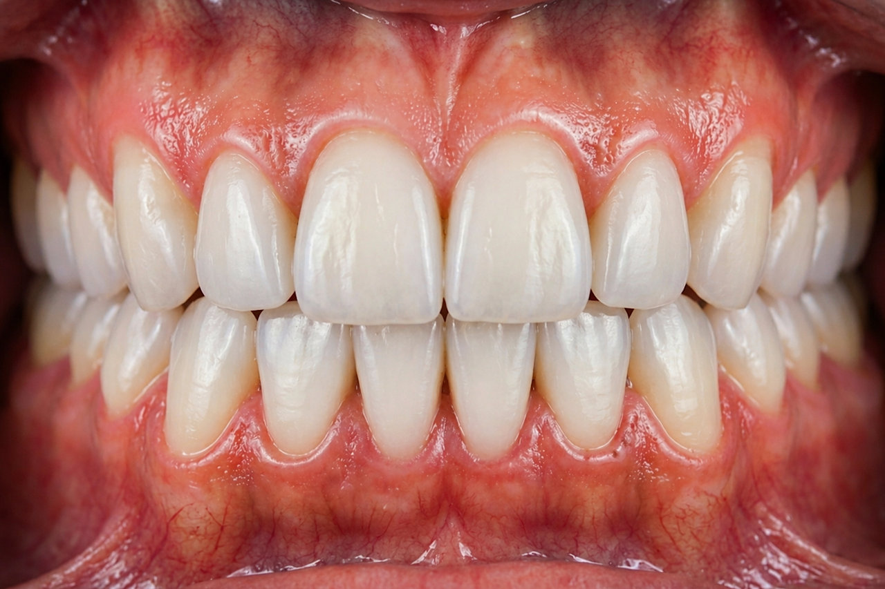
- Intraoralna i ekstraoralna fotografija s naglaskom na vjernost prikaza.
- Fotografiranje dentalnih materijala i protetike, naglašavajući njihovu kvalitetu,preciznost izrade i estetiku.
4. Savjeti za odabir i ulaganje u opremu
- Stručni savjeti o kupnji fotografske opreme prilagođene Vašim potrebama i budžetu.
- Preporuke za optimizaciju opreme kako biste postigli najbolje rezultate uz minimalna ulaganja.
Uz teorijsko znanje i stručne savjete, kroz praktični dio tečaja savladat ćete ključne tehnike i razviti samopouzdanje u primjeni naučenog u svakodnevnoj praksi. Cilj je omogućiti Vam da s lakoćom dokumentirate svoj rad i stvorite impresivne fotografije s kojima ćete vjerno prikazati kvalitetu vlastitog rada i stručnosti.
Morate li posjedovati fotografsku opremu?
Poželjno je, no nije uvjet. Na tečaju ćete se moći upoznati s profesionalnom fotografskom opremom, od fotoaparata i objektiva do bljeskalica, reflektora i fotografskih kutija (lightbox).
Koja je cijena tečaja?
- Cijena tečaja dentalne fotografije za jednog polaznika iznosi 450,00 €
- Cijena tečaja dentalne fotografije za dva polaznika iznosi 800,00 €
- Cijena tečaja dentalne fotografije za skupinu od tri ili četiri polaznika iznosi 1.250,00 €
Prijavite se odmah i rezervirajte svoj termin!
Napomena: Ako se na tečaj prijavljuju dvije, tri ili četiri osobe, u tom slučaju se radionice odvijaju istovremeno, što znači da se termini moraju uskladiti pa svih pet dana trajanja radionice, polaznici moraju biti prisutni u istim terminima.
